Предмет: Биология,
автор: tihonovaanastasia140
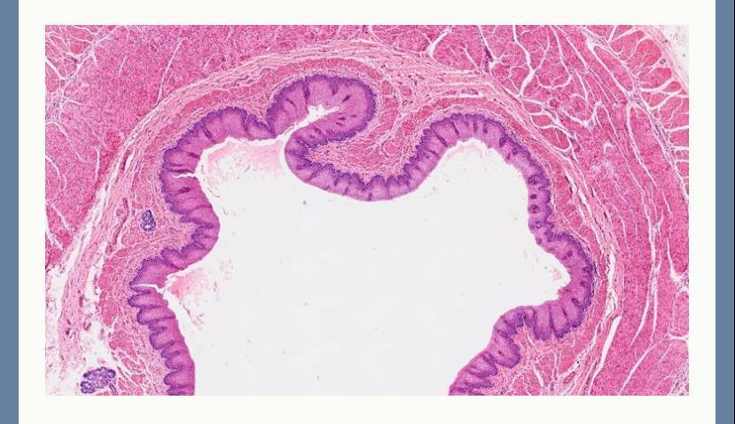
На микрофотографии НЕЛЬЗЯ увидеть
многослойный эпителий
рыхлую волокнистую соединительную ткань
мышечную ткань
хрящевую ткань
Приложения:
MrNeGaT1Ve:
А какой вопрос?
19
Ответы
Автор ответа:
1
Ответ:
мышечную ткань
Объяснение:
Автор ответа:
1
Ответ:
Мышечную ткань
Похожие вопросы
Предмет: Математика,
автор: uwa2015
Предмет: Українська мова,
автор: Аноним
Предмет: Русский язык,
автор: вано1пуля
Предмет: История,
автор: rinas33
Предмет: Информатика,
автор: Dhdhfh