Предмет: Биология,
автор: tihonovaanastasia140
№ 19
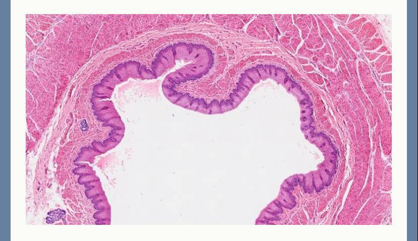
На микрофотографии НЕЛЬЗЯ увидеть
многослойный эпителий
рыхлую волокнистую соединительную ткань
мышечную ткань
хрящевую ткань
Приложения:
Ответы
Автор ответа:
1
Ответ: рыхлую волокнистую соединительную ткань
Объяснение:
Похожие вопросы
Предмет: Қазақ тiлi,
автор: irinagudina11
Предмет: Алгебра,
автор: Den0410
Предмет: Геометрия,
автор: 555Эвелина555
Предмет: Математика,
автор: Аноним
Предмет: Математика,
автор: romanmeskicekov