Предмет: Биология,
автор: LIZA657085
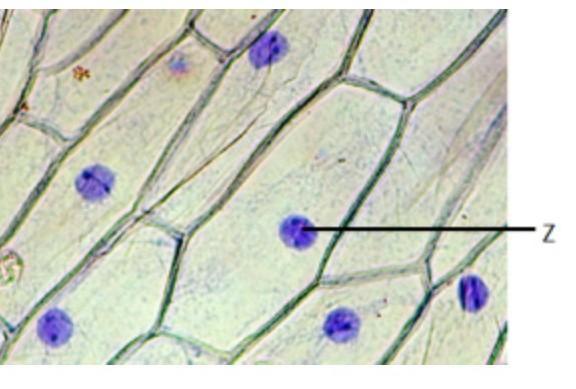
На рисунке видна растительная клетка под микроскопом. На рисунке буквой z обозначена состовная часть клетки, функцией которой является... Ответы могут быть... А-сохранение наследственной информации Б-фотосинтез-создание питательных веществ В-поддержание формы клетки
Приложения:
Ответы
Автор ответа:
32
Ответ:
А
Объяснение:
Это ядро, его функцией является сохранение и передача наследственной информации
vertamila:
спасибо спасибо спасибо тебе огромное
Похожие вопросы
Предмет: Английский язык,
автор: evgeniapoletaeva298
Предмет: Химия,
автор: atiurina745
Предмет: Математика,
автор: Banusafar
Предмет: Математика,
автор: машка811
Предмет: История,
автор: рвнвн